Seren Posted August 5, 2014 Share Posted August 5, 2014 Hi again, I have the Golden Retriever who was hit by the car 2 weeks ago. This afternoon I got the worst phonecall from the Vet. They xrayed the hip as Lace has been on 3 legs again and whimpering a bit. It has come out again!! They said that they have sent the xrays to the Specialist in Brisbane for advice. They said that the toggle is not an option as her other hip would not take the strain. They think the removal of the femur head is not an option either for the same reason. They are talking hip replacement. We have to go in tomorrow to work out the next move. I need to find out what the success rate of a hip replacement is and how much pain would be involved for Lace. I am gutted and frantic. I just did not expect this after this mornings call I made when they said that she was doing ok. I just have not thought of this becoming an operation or worse still - losing Lace. Does anyone know if a hip replacement in a 1 year old dog would be successful and not too painful?? I really need help on this, I did not expect this at all. Thanks for reading, I hope that I can get some advice. I am also praying that tonight she will be comfortable enough, they promised me that she has had a lot of pain relief and is ok at the moment Link to comment Share on other sites More sharing options...
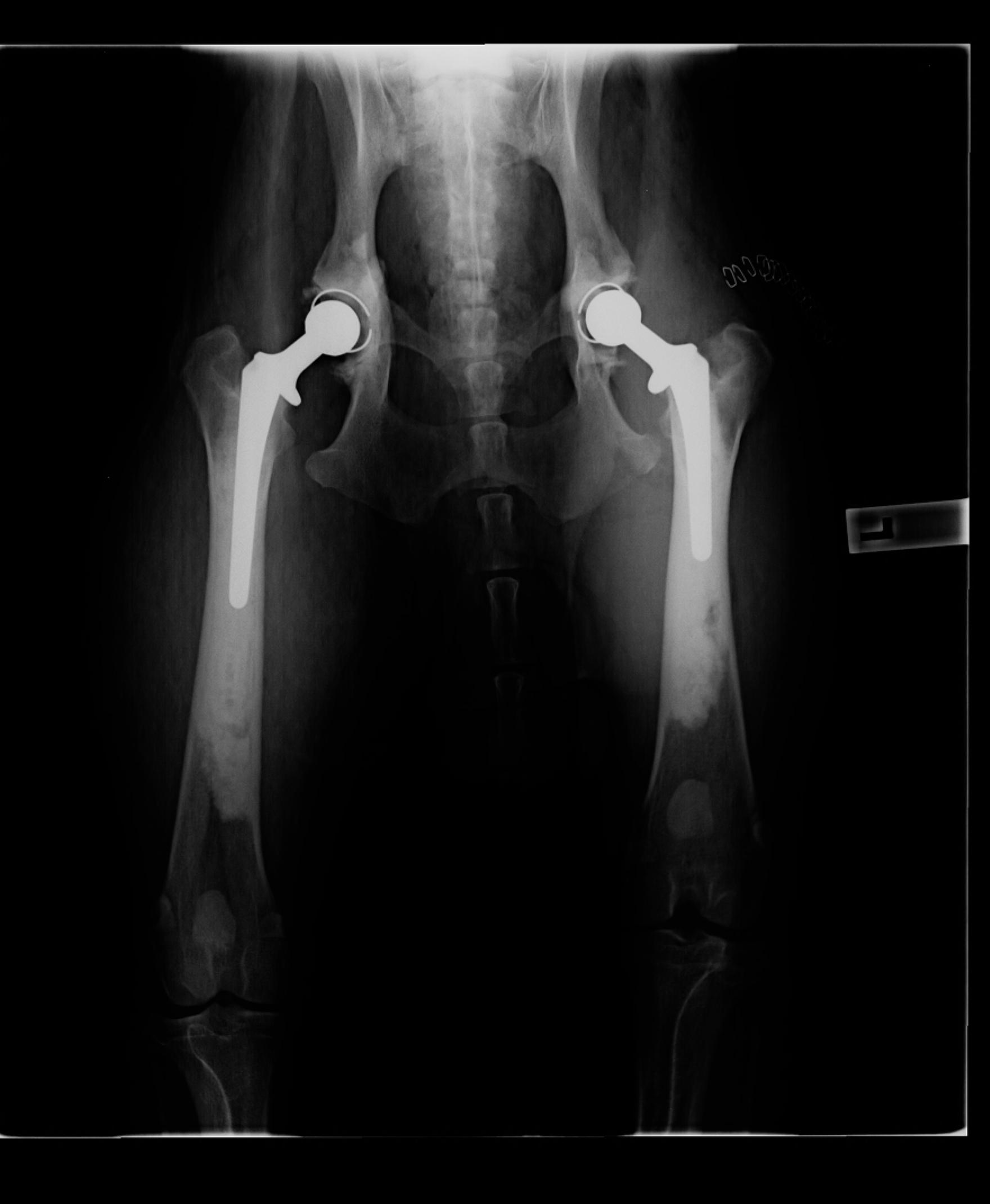
bianca.a Posted August 5, 2014 Share Posted August 5, 2014 Hi and I am so very sorry for you both. Yes a hip replacement can be done. My male GSD had his first total hip replacement at 14 months (I think) and then months ago had his other side done. You would never know (apart from my bank balance!). I wish you the very best. Here his Cooper now (aged 2) Link to comment Share on other sites More sharing options...
bianca.a Posted August 5, 2014 Share Posted August 5, 2014 Hi Seren, I posted on your other thread about my young dog who has now had two total hip replacements. Please keep up updated ((hugs)) Link to comment Share on other sites More sharing options...
bianca.a Posted August 5, 2014 Share Posted August 5, 2014 Also the specialists who I consulted with (multiple including the one who did the surgeries) said that the ball, socket and stem will last the lifetime of the dog so that is a huge positive. Cooper suffered with his first op but that was due to his scrotum being burnt by clippers. He was more bothered by that then the hip. This time round was much easier. You just have to keep them contained and quiet for the first 6 weeks which is hard. Link to comment Share on other sites More sharing options...
Seren Posted August 5, 2014 Author Share Posted August 5, 2014 Hi Bianca, Sorry - I have just gone back quickly and cannot find your reply or my other thread - so sorry. Did the hip replacements work well?? Did your dog go through much pain with it? And how long before he/she was able to mobilise and get back to normal etc? So sorry to have to ask you again, I will keep looking for your first reply too. Link to comment Share on other sites More sharing options...
Seren Posted August 5, 2014 Author Share Posted August 5, 2014 I'm sorry that I don't have any advice to offer but I hope your girl is going to be okay. Try not to worry about her overnight as I'm sure the vet is making sure she is resting comfortably. Thanks so much !! I really appreciate your kindness. Link to comment Share on other sites More sharing options...
Seren Posted August 5, 2014 Author Share Posted August 5, 2014 Hi and I am so very sorry for you both. Yes a hip replacement can be done. My male GSD had his first total hip replacement at 14 months (I think) and then months ago had his other side done. You would never know (apart from my bank balance!). I wish you the very best. Here his Cooper now (aged 2) Thanks Bianca. Sorry I have messaged you. I see that your boy seems ok now. It has been such a shock to me that they have said that Lace needs doing. I am so worried about her pain. Yes, I thought of the expense but I don't want to lose her. I am willing to go without so that she has the best care available. We live in the country so I think that she will need to go to Brisbane for the operation. I need to ask the Vet can I talk to the specialist about it all. I am willing to spend my money on her, she is such a sweet girl and our other dog Holly misses her so much Link to comment Share on other sites More sharing options...
*Avanti* Posted August 5, 2014 Share Posted August 5, 2014 I ditto Sir Snook's words. Being only one year old would give her a good chance of healing well I would think. Sending my best wishes for a speedy recovery. It sounds like she is in good hands. :) Link to comment Share on other sites More sharing options...
bianca.a Posted August 6, 2014 Share Posted August 6, 2014 Hi Seren, I just replied to you and if there is anything else I can answer, please ask ((hugs)) Link to comment Share on other sites More sharing options...
Recommended Posts
Create an account or sign in to comment
You need to be a member in order to leave a comment
Create an account
Sign up for a new account in our community. It's easy!
Register a new accountSign in
Already have an account? Sign in here.
Sign In Now