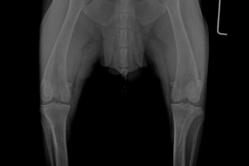
Garret Posted March 14, 2019 Share Posted March 14, 2019 Hi Guys, My dog has been diagnosed with IVDD since February 2nd of 2019. Im at a lost to treat him, please help. So far Im taking him for acupuncture 2x a week. He is being medicated with Analsik 2x a day, and I apply Glucosamine Gel over his joints. Since he has a hard time walking I'm trying to learn to express bladder him, but pooping is still something I can't figure out how to help him does it. So far my vet has diagnosed him with IVDD from looking at his Xray. But there is something that me and my doctor are not sure about which is the Xray on his neck, regarding what is near the AXIS of his neck. I don't know where to ask to next.. I have consulted with 5 vets and not one of them seems to be able to give a definite answer. Some say its a piece of the fracture that broke off, other speculate that it might be cancer. I'm really scared for my dog, and if anyone could help tell me more on what exactly is happening to my dog's neck. or at least point me where I could better ask these questions would help a lot! Link to comment Share on other sites More sharing options...
Dogsfevr Posted March 15, 2019 Share Posted March 15, 2019 Have you seen a specialist vet or just 5 random vets Link to comment Share on other sites More sharing options...
Garret Posted March 16, 2019 Author Share Posted March 16, 2019 20 hours ago, Dogsfevr said: Have you seen a specialist vet or just 5 random vets Currently i live in Indonesia, and i dont think any of the vets are specialist. At least not in the case of IVDD. Because there are none here.. Link to comment Share on other sites More sharing options...
Dogsfevr Posted March 16, 2019 Share Posted March 16, 2019 Maybe contact a specialist in Australiaor New Zealand and see if they will consult on the X rays Link to comment Share on other sites More sharing options...
Recommended Posts
Create an account or sign in to comment
You need to be a member in order to leave a comment
Create an account
Sign up for a new account in our community. It's easy!
Register a new accountSign in
Already have an account? Sign in here.
Sign In Now