PomsNZ Posted November 5, 2010 Share Posted November 5, 2010 Bokezu the only guaranteed way for numbers is a Xray, after 7 weeks. I usually get a xray done daqy or two before, to make sure they can fit through the pelvis, but i have poms, not many breeds have as much problems lol. Good luck anyways! Link to comment Share on other sites More sharing options...
Bokezu Posted November 5, 2010 Share Posted November 5, 2010 (edited) Bokezu the only guaranteed way for numbers is a Xray, after 7 weeks. I usually get a xray done daqy or two before, to make sure they can fit through the pelvis, but i have poms, not many breeds have as much problems lol. Good luck anyways! apologies meant x-ray, was told 10 days before is it wiser to be a bit closer to date? ok just read after 7 weeks Edited November 5, 2010 by Bokezu Link to comment Share on other sites More sharing options...
PomsNZ Posted November 5, 2010 Share Posted November 5, 2010 I was wondering if you meant it lol! its ok, i had a brain freeze earlier today lol. Its so neat to see the lil bods lying there! I get mine done closer to the time, but for a reason, if its a singleton (and this girl doesnt know how to have more than 1 at a time) then its quite possibly too big, and we can do a elect caesar. Link to comment Share on other sites More sharing options...
SBT101 Posted November 5, 2010 Share Posted November 5, 2010 :D ;) Cynda is now confirmed pregnant. We clearly saw at least 3 puppies. I am so rapt :D Link to comment Share on other sites More sharing options...
PomsNZ Posted November 5, 2010 Share Posted November 5, 2010 WO HOOOOOOO congrats SBT101 thats great news! wish i could see 3 on my molly LOL Link to comment Share on other sites More sharing options...
murmarstaffs Posted November 5, 2010 Share Posted November 5, 2010 congrats SBT101............ your going to be a busy nanna this xmas Link to comment Share on other sites More sharing options...
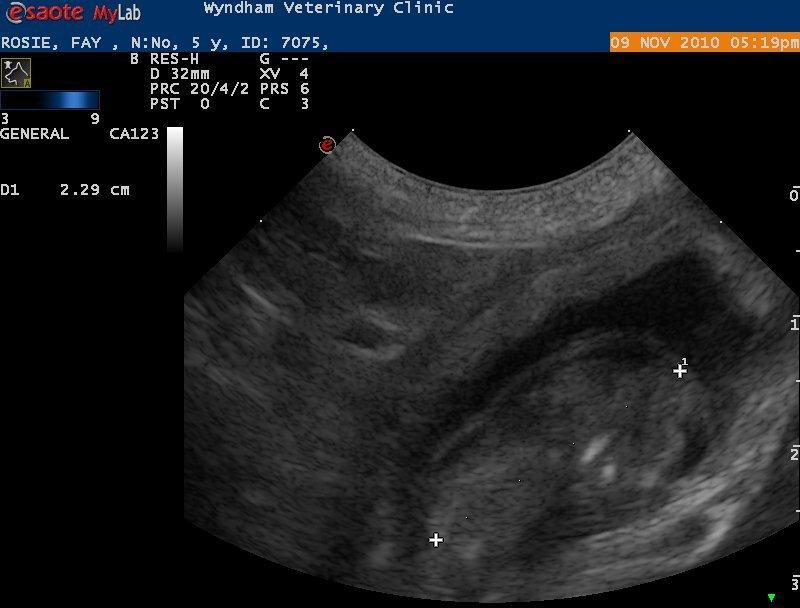
SBT101 Posted November 5, 2010 Share Posted November 5, 2010 Thankyou and yes it will be a very busy christmas ;) We did see another puppy that didn't look right and is possible being obsorbed ;) I nearly cried on the spot, the poor little darling. I am currently waiting for the vet to ring back so I can possible take Cynda back in and get her progestrone levels checked. She has been quite herself for a while but I was putting it down to hormonal changes. Here are the scans from today...Aren't they just gorgeous Link to comment Share on other sites More sharing options...
Bokezu Posted November 5, 2010 Share Posted November 5, 2010 ;) ;) Cynda is now confirmed pregnant. We clearly saw at least 3 puppies. I am so rapt :D Congratulations SBT101 !!! Link to comment Share on other sites More sharing options...
Zensu Posted November 5, 2010 Share Posted November 5, 2010 Congrats everyone! Link to comment Share on other sites More sharing options...
Puglodge Posted November 5, 2010 Share Posted November 5, 2010 (edited) Congratulations everyone. It looks like everyone will be sticking close to home on xmas day. Edited November 11, 2010 by Puglodge Link to comment Share on other sites More sharing options...
SBT101 Posted November 7, 2010 Share Posted November 7, 2010 Cynda is now getting bit tempremental towards Kimba Hackels up every time she sees her. I am going to have fun aren't I,NOT. Link to comment Share on other sites More sharing options...
Bokezu Posted November 8, 2010 Share Posted November 8, 2010 Congrats everyone! Congratulations to you too Zensu :rolleyes: Link to comment Share on other sites More sharing options...
Puglodge Posted November 9, 2010 Share Posted November 9, 2010 (edited) We have 3 puppies confirmed with an ultrasound this afternoon. The countdown is on for all of us. Edited November 11, 2010 by Puglodge Link to comment Share on other sites More sharing options...
SBT101 Posted November 9, 2010 Share Posted November 9, 2010 (edited) We have 2 weeks to go for Kimba and Cynda has 4 weeks. Cynda is now back to eating :D still hand fed though least she is eating. Will get some photos shortly. 5weeks now 5 weeks Edited November 9, 2010 by SBT101 Link to comment Share on other sites More sharing options...
Bilbo Baggins Posted November 9, 2010 Author Share Posted November 9, 2010 Cleo off her food this morning which caused a rukus as someone slipped in and tried to steal it and she "guarded" it. :D ;) Link to comment Share on other sites More sharing options...
Fordogs Posted November 12, 2010 Share Posted November 12, 2010 (edited) German Shepherd puppies for us around December 16th confirmed by ultrasound today Wooo Hooo. I didn't want to post too early after my last disappointment. Edited November 12, 2010 by Fordogs Link to comment Share on other sites More sharing options...
Bilbo Baggins Posted November 12, 2010 Author Share Posted November 12, 2010 Congratulations. Link to comment Share on other sites More sharing options...
dunnwarren Posted November 12, 2010 Share Posted November 12, 2010 Secret is due to have pups either late November or early December. A litter of little Aust Silkys, hoping for something really nice so I can get back into showing. Link to comment Share on other sites More sharing options...
PomsNZ Posted November 12, 2010 Share Posted November 12, 2010 congrads fordogs and also congrads to dunwarren Link to comment Share on other sites More sharing options...
Bokezu Posted November 12, 2010 Share Posted November 12, 2010 Congrats fordogs and dunwarren!!!! here is not a very good pic of Sienna from yesterday with 20 days to go, have x-ray booked for 24 th so I will know how many Link to comment Share on other sites More sharing options...
Recommended Posts