Mrs Rusty Bucket Posted June 27, 2014 Share Posted June 27, 2014 GSD_glenwood If it is confirmed that your GSD has hip displasia - you can send details of that and his ancestry to the DNA database. This can help them work out what is and isn't genetic and how likely to occur etc. http://sydney.edu.au/vetscience/lida/dogs/ At the moment most of their publically available data is based on data from the USA - and Australia has some overlap but not completely. A bit too late - but you didn't ask first - this is a link to an article about the consequences of early desex (before maturity eg 18 months to 2 years for a big dog) on the dog's growth and skeleton and ability to do sports like Agility and IPO (Schutzhund). http://www.caninesports.com/uploads/1/5/3/1/15319800/spay_neuter_considerations_2013.pdf there's another article up on that site about the early desex effects on Vizlas - haven't read it yet. http://www.caninesports.com/useful-info.html So far my dog has been fine with early desex (she was 8 weeks old - I got her as a 10 week old puppy from AWL - no choice). But she does seem like a puppy in a lot of her behaviours even tho she's now 5.5 years old Link to comment Share on other sites More sharing options...
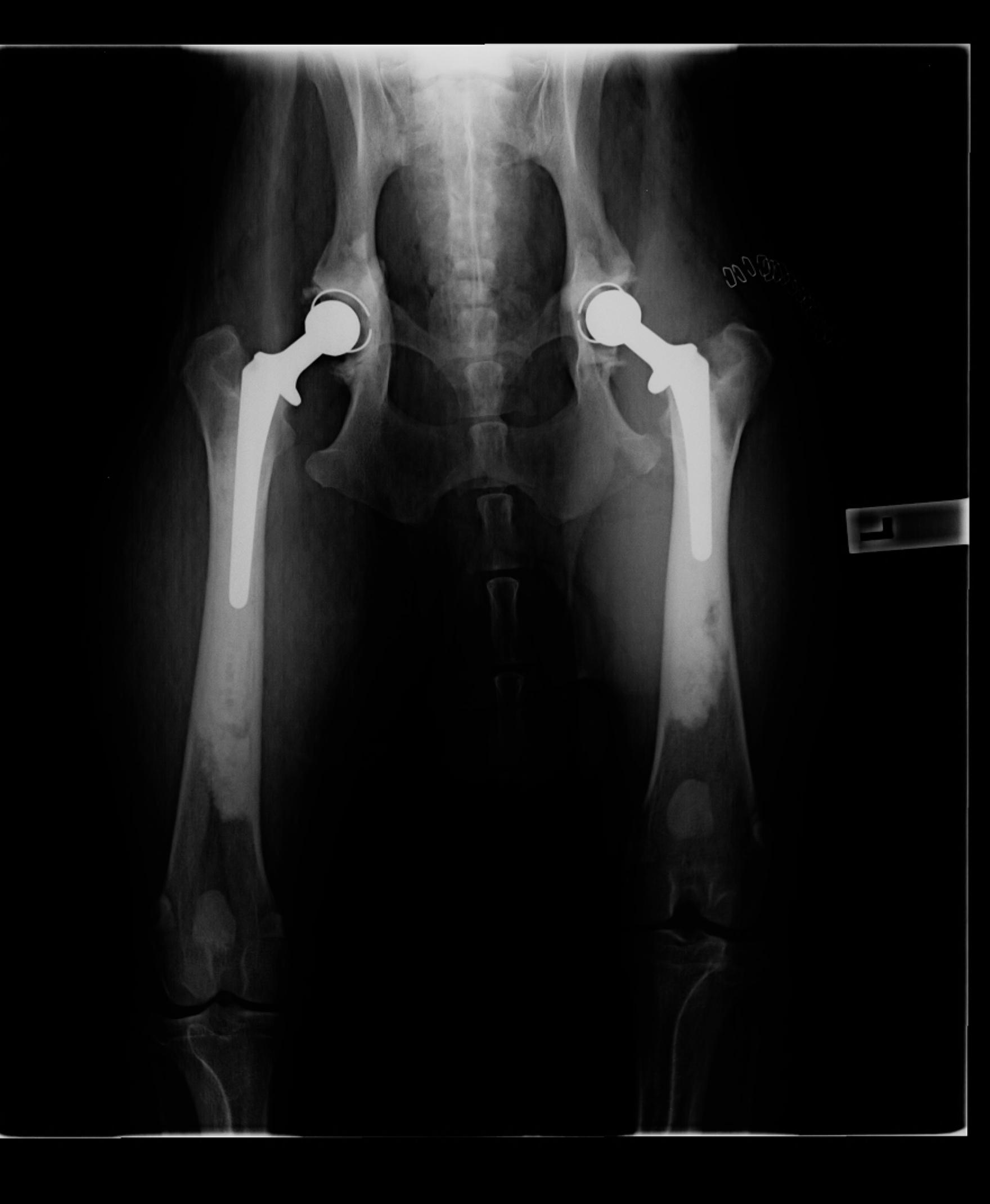
gsd_glenwood Posted June 27, 2014 Author Share Posted June 27, 2014 Hi there, I am sorry you have these worries regarding your puppy. I have a 100% working line GSD from a great breeder who does all possible health checks before her breedings. Unfortunately at 10 months of age my Cooper was diagnosed with severe HD. I had three specialists (including one who does pennhip scoring) confirm this. He had his first Total Hip Replacement done and then 5 weeks ago he had his other hip done. It is an awful shock and very expensive. I would recommend you get a specialist opinion as some vets really have no idea of correct positioning. If you have other questions, you are welcome to PM me and I will try to help. This xray is straight after his second THR I asked my vet tonight for a copy of his XRAYS - will share when I get them on a CD next week. Link to comment Share on other sites More sharing options...
gsd_glenwood Posted June 27, 2014 Author Share Posted June 27, 2014 Hi there, I am not very experienced in GSD but have been involved with a friend who breeds and shows for about 5 years. I currently have one of her pups at 9 months old now. Now before you do ANYTHING ALWAYS CONTACT THE BREEDER FIRST!!!! This is very important, a GSD doesn't stop growing and maturing until 18 months old. Depending on how your pup has been raised I do not think it would have Hip Displaysia now. Or elbow in that fact, they are unrelated (as in he has HD so it must have bad elbows too) No do not listen to your vet and definitely do NOT do any surgery... It is all $$$$ with many general vets. As I previously said he is only 5 months old, he is growing and they do go through a lanky stage. Your breeder should have gone through this with you when you bought your pup. GSD are a quick growing dog and do very well with added calcium in their food (cheese, yougurt, sardines) As others have previously said weight can affect and put pressure on them and can make HD a issue, they are a lean working dog and should not be fat. Their ribs should be felt quite easily, Your puppy should avoid jumping on things because this can help tear their ligaments which will issue with HD. Everything I have mentioned here is what my BREEDER told me and what I have done with my GSD. I urge you to get in contact with your breeder and take it from there. If that doesn't happen try calling your state german shepherd club and I am 100% they will be able to offer you advice and help :-) You should post some photos of your little man Sent from my GT-N7105T using Tapatalk Here he is ... a pic of him at the park today. Link to comment Share on other sites More sharing options...
VizslaMomma Posted June 27, 2014 Share Posted June 27, 2014 Here he is ... a pic of him at the park today. He is gorgeous! Looks a lively young man. Link to comment Share on other sites More sharing options...
bianca.a Posted June 28, 2014 Share Posted June 28, 2014 Awww he's so cute! Link to comment Share on other sites More sharing options...
Amax-1 Posted June 28, 2014 Share Posted June 28, 2014 (edited) Say a young large breed male dog had behavioural issues, could the dog not have had chemical castration? What would happen there, Steve? NB: not meaning this puppy but in general..... Were the behaviour problems caused by the dog being entire? Could the problems not be fixed with training? ETA: I am being a bit smart with my comments as I don't believe that desexing is the answer to fixing behaviour problems. I agree with Sandra777. A dog with behavioural problems is often desexed and trained simultaneously, then they say "wasn't the desexing wonderful" when in actual fact the training is what corrected the behaviour. Edited June 28, 2014 by Amax-1 Link to comment Share on other sites More sharing options...
Amax-1 Posted June 28, 2014 Share Posted June 28, 2014 (edited) Sorry to hear about your pup and the other who's had hip replacements. You need to be careful with the breeding on working line GSD's as there are some Australian lines notorious for ED and HD yet some breeders are still line breeding on the main culprits although the parents are ok, the grandparents of the parents are not ok and when line bred on, ED and HD is surfacing in third generation progeny too often. There were 4 main culprits imported and two of them were bred producing some good working dogs in the one's not effected with ED/HD and in the time with limited gene pools these imports were bred over and over.....now they are getting line bred on and severe ED/HD is resurfacing from later breeding's with these dogs in the background unfortunately. The OP's pup and the other mentioned may be victims of dreaded nature, but there are some working line breeding's to steer well clear of for this reason as a cautionary note. I would also question the breed experience of any GSD breeder who recommended desexing at 6 months and any working line GSD breeder who recommended desexing at all IMHO is cause for concern. Having said all of that, I wouldn't trust an ED and HD diagnosis in a 6 month old pup as often Panosteitis is the cause of lameness in puppy hood and some vets although x-rays have been done are fast on the ED/HD trigger without really knowing what they are look at if ED and HD can be determined in a growing pup at all? Edited June 28, 2014 by Amax-1 Link to comment Share on other sites More sharing options...
Pockets Posted June 30, 2014 Share Posted June 30, 2014 Hi there, I am sorry you have these worries regarding your puppy. I have a 100% working line GSD from a great breeder who does all possible health checks before her breedings. Unfortunately at 10 months of age my Cooper was diagnosed with severe HD. I had three specialists (including one who does pennhip scoring) confirm this. He had his first Total Hip Replacement done and then 5 weeks ago he had his other hip done. It is an awful shock and very expensive. I would recommend you get a specialist opinion as some vets really have no idea of correct positioning. If you have other questions, you are welcome to PM me and I will try to help. This xray is straight after his second THR I asked my vet tonight for a copy of his XRAYS - will share when I get them on a CD next week. I would not go off the x rays your vet has taken, a GSD needs to be positioned correctly in order for someone to make an accurate assessment. Your first port of call would be to attend the vets suggested, either Karen Hedberg or Rob Zammitt, who could take x rays and give you more ideas. However as mentioned abovem German Shepherds at that age are not fully developed, so it is not possible to confirm HD/ED. German Shepherd puppies can also develop whats called "Panosteitis" which can cause limping in the front legs and generally will change from leg to leg, this will most often happen in quickly growing puppies and can be controlled by and eased by giving anti inflammortires and restricting boistrous movement during the periods that the puppy/dog is affected. I have had 2 German Shepherd male pups have this condition, its more considered to be in human terms "growth pains". Your puppy looks a bit too heavy for what I would like to see at his age, which can put unnessasary stress on growing and developing joints, they shouldnt be raised skinny, but they should not be excessively heavy either. a nice covering over the ribs and a bit of puppy fat is fine, but your pup looks like a tad bit heavy. A dog that is not positioned correctly when x rayed can look terrible, any professional x ray reader will confirm this. You have received some very good advice on here, if it were my puppy, I would be going to one of the vets recommended and discussing the concerns with them, only then will you get knowledgable answers from 2 extremely good vets that know the breed and x ray German Shepherds on a regular basis. I just had 2 of mine x rayed by Rob Zammitt and can highly recommend him. Link to comment Share on other sites More sharing options...
bianca.a Posted June 30, 2014 Share Posted June 30, 2014 To be fair though, whilst this vet may not have positioned correctly, they may be enough for a specialist to review and go from there. That is what happened with Cooper, local vet did xrays and they certainly aren't brilliant but it was clear as mud, we had a major problem. And from there we went to see specialists. Link to comment Share on other sites More sharing options...
bianca.a Posted July 9, 2014 Share Posted July 9, 2014 Just bumping this to see if there are any updates on your boy? Link to comment Share on other sites More sharing options...
gsd_glenwood Posted July 23, 2014 Author Share Posted July 23, 2014 Hi there, I am sorry you have these worries regarding your puppy. I have a 100% working line GSD from a great breeder who does all possible health checks before her breedings. Unfortunately at 10 months of age my Cooper was diagnosed with severe HD. I had three specialists (including one who does pennhip scoring) confirm this. He had his first Total Hip Replacement done and then 5 weeks ago he had his other hip done. It is an awful shock and very expensive. I would recommend you get a specialist opinion as some vets really have no idea of correct positioning. If you have other questions, you are welcome to PM me and I will try to help. This xray is straight after his second THR Hi Bianca, quick followup - Cain(my fur baby) andI will be meeting with Karen Hedburg to discuss his case end this week. I have his XRAYS on a PDF view disc - but can't seem to load them here to share :-( Link to comment Share on other sites More sharing options...
persephone Posted July 23, 2014 Share Posted July 23, 2014 thanks for the update - best of luck . Link to comment Share on other sites More sharing options...
bianca.a Posted July 23, 2014 Share Posted July 23, 2014 Yes thank you for updating. I too wish you the best and please keep us updated. Link to comment Share on other sites More sharing options...
VizslaMomma Posted July 23, 2014 Share Posted July 23, 2014 quick followup - Cain(my fur baby) andI will be meeting with Karen Hedburg to discuss his case end this week. I have his XRAYS on a PDF view disc - but can't seem to load them here to share :-( Good, if not great move, to be seeing Karen. All the very best with the consultation. Link to comment Share on other sites More sharing options...
lululove Posted July 23, 2014 Share Posted July 23, 2014 Best of luck and hoping for the best Link to comment Share on other sites More sharing options...
Tapua Posted July 24, 2014 Share Posted July 24, 2014 Best of luck a second opinion is always good. Link to comment Share on other sites More sharing options...
Herbiegirl Posted January 3, 2015 Share Posted January 3, 2015 Hi Sim, was wondering how you dog was getting on? I have a lab pup who has elbow probs as well. Have you got another opinion? Link to comment Share on other sites More sharing options...
Recommended Posts
Create an account or sign in to comment
You need to be a member in order to leave a comment
Create an account
Sign up for a new account in our community. It's easy!
Register a new accountSign in
Already have an account? Sign in here.
Sign In Now