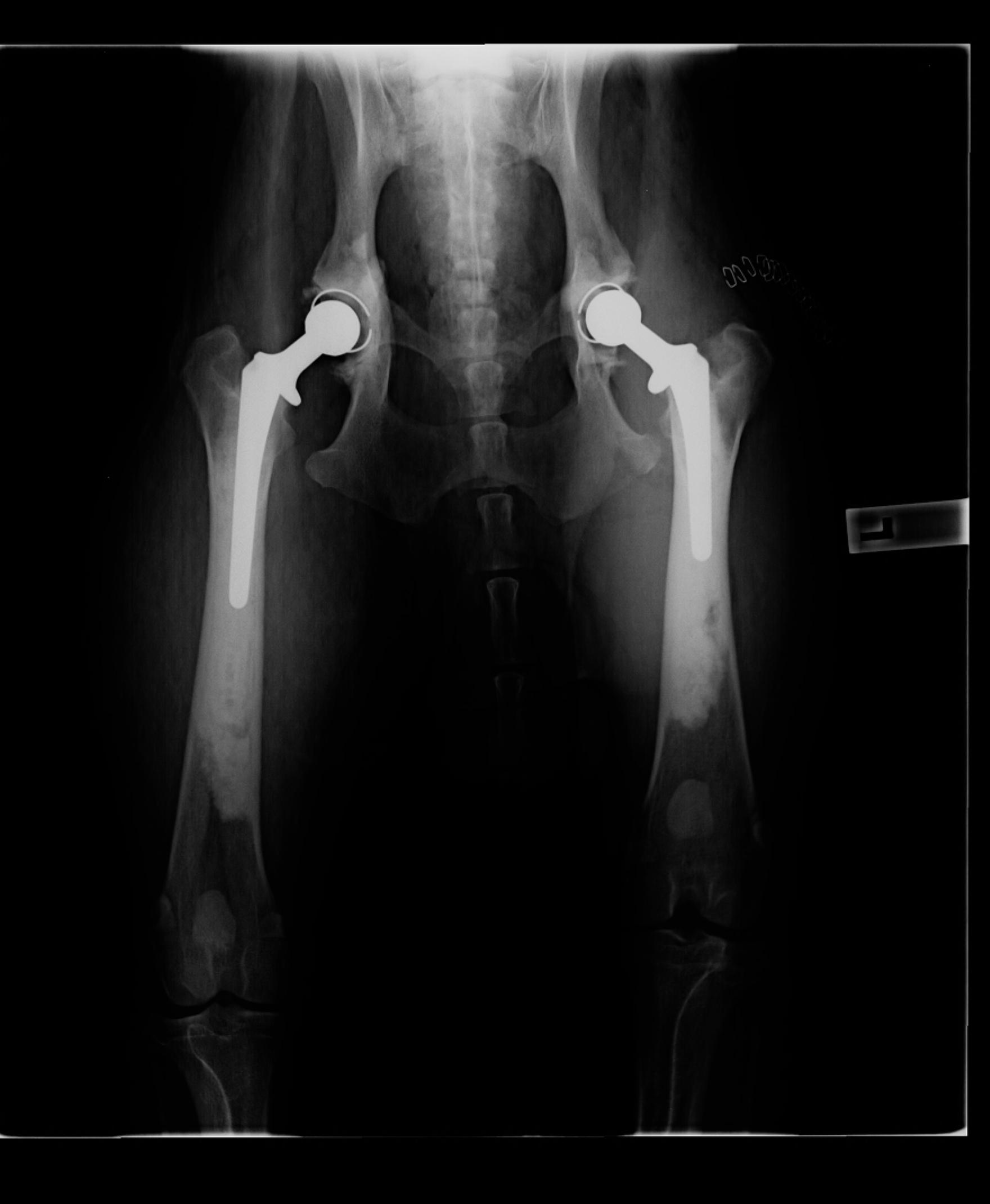
bianca.a Posted May 21, 2014 Author Share Posted May 21, 2014 Oh thank you all so very much ((hugs)) Well the surgeon is happy so I am happy! When I call tomorrow I am going to ask how his skin is. But here is his post op xray.....bionic boy! Link to comment Share on other sites More sharing options...
Tassie Posted May 21, 2014 Share Posted May 21, 2014 Happy surgeon is always good. He should feel much more comfortable pretty soon. Best wishes for no razor rash .. and for really good recovery for your very handsome lad. :) Link to comment Share on other sites More sharing options...
Rebanne Posted May 21, 2014 Share Posted May 21, 2014 how long before he comes home? Link to comment Share on other sites More sharing options...
BC Crazy Posted May 21, 2014 Share Posted May 21, 2014 Cooper has pic perfect hips now :) do hope he can come home very soon Bianca & he makes a full speedy recovery. Link to comment Share on other sites More sharing options...
Crits'N'Bits Posted May 21, 2014 Share Posted May 21, 2014 (edited) ohhh Bianca only just caught up with this ... wishing you and Coop all the best .. what an ordeal it has been over the last year or so - lets hope this will be the end of it for now and Coop is on the home straight with his recovery. xx Edited May 21, 2014 by Crits'N'Bits Link to comment Share on other sites More sharing options...
bianca.a Posted May 22, 2014 Author Share Posted May 22, 2014 Thank you so much all :) He is starting to weight bear apparently and is eating! His skin apparently has a few minor spots of irritation but thank dog not his testicles. They sent me this pic and I should be able to go and pick him up on Saturday! Link to comment Share on other sites More sharing options...
VizslaMomma Posted May 22, 2014 Share Posted May 22, 2014 oh Yay!!!!!! What a brave, handsome boy! Much LOVE & gentle cyberhugs to you both. Yeah, 2 sleeps to coming home Link to comment Share on other sites More sharing options...
Crits'N'Bits Posted May 22, 2014 Share Posted May 22, 2014 great news bianca :) hope all goes well on saturday - yell out if you need anything :) lots of healing positive energy being sent to coop xxx Link to comment Share on other sites More sharing options...
BC Crazy Posted May 23, 2014 Share Posted May 23, 2014 How wonderful Bianca.... yaaa !!!! So pleased Cooper is recovering well. He's as handsome as ever even with an elizabeth collar on ;) Hope he is on his feet & pain free very soon. Not long to go & you can bring your baby home. Link to comment Share on other sites More sharing options...
bianca.a Posted May 23, 2014 Author Share Posted May 23, 2014 Awww thank you so much ((hugs)) He is doing really well according to the last update this afternoon and I pick him up at 9.30am! Can't wait to bring my little treasure home Link to comment Share on other sites More sharing options...
VizslaMomma Posted May 23, 2014 Share Posted May 23, 2014 Awww thank you so much ((hugs)) He is doing really well according to the last update this afternoon and I pick him up at 9.30am! Can't wait to bring my little treasure home One sleep to go!!!!!!!!!!!!!!!!!!!!!!!!!!!!!!!!!! Sending cyberhugs. Hoping for a speedy recovery . The Green Candle of Hope has a beautiful flame tonight. Link to comment Share on other sites More sharing options...
bianca.a Posted May 24, 2014 Author Share Posted May 24, 2014 Thank you so much xo My boy is home! Link to comment Share on other sites More sharing options...
bianca.a Posted May 24, 2014 Author Share Posted May 24, 2014 I tried the Stop Bite collar but it is too big (keeps slipping) and yet too small, he can get to his rear end So back with the cone of shame. Link to comment Share on other sites More sharing options...
VizslaMomma Posted May 24, 2014 Share Posted May 24, 2014 I tried the Stop Bite collar but it is too big (keeps slipping) and yet too small, he can get to his rear end So back with the cone of shame. Not a cone of shame! A cone of protection to help the wee man recover...... Big but gentle HUGS to you both. Hoping for an uneventful recovery. LOVE Link to comment Share on other sites More sharing options...
BC Crazy Posted May 24, 2014 Share Posted May 24, 2014 So pleased Cooper is home. Bet you feel whole now. Hope he has a speedy recovery. Regarding the colllars. I has seen some that are soft fabric. Dont know if they would be suitable for him. Just a thought.. I know they hate those plastic ones dont they. Give him a cuddle for me Bianca . Sending healing thoughts :) Link to comment Share on other sites More sharing options...
Crits'N'Bits Posted May 24, 2014 Share Posted May 24, 2014 wonderful news bianca :) xxx Link to comment Share on other sites More sharing options...
bianca.a Posted May 25, 2014 Author Share Posted May 25, 2014 (edited) Thank you so very much, your support is wonderful xxx He is doing ok, cries when the meds start to wear off but is sedated and pretty much sleeping *bless* Edited May 25, 2014 by bianca.a Link to comment Share on other sites More sharing options...
BC Crazy Posted May 25, 2014 Share Posted May 25, 2014 (edited) Sorry to hear he is a bit uncomfortable at times but lovely to hear Cooper is snoozing lots. Sleep is very healing ;) Edited May 25, 2014 by BC Crazy Link to comment Share on other sites More sharing options...
*kirty* Posted May 25, 2014 Share Posted May 25, 2014 Glad to hear everything went well. He is a brave boy. :) His nuts look pretty raw again though! Link to comment Share on other sites More sharing options...
bianca.a Posted May 25, 2014 Author Share Posted May 25, 2014 Thank you both (hugs) yes I am going to email a photo to the surgeon to see if I should do anything or leave it? He isn't nearly as bothered as last time thank dog. Link to comment Share on other sites More sharing options...
Recommended Posts
Create an account or sign in to comment
You need to be a member in order to leave a comment
Create an account
Sign up for a new account in our community. It's easy!
Register a new accountSign in
Already have an account? Sign in here.
Sign In Now